
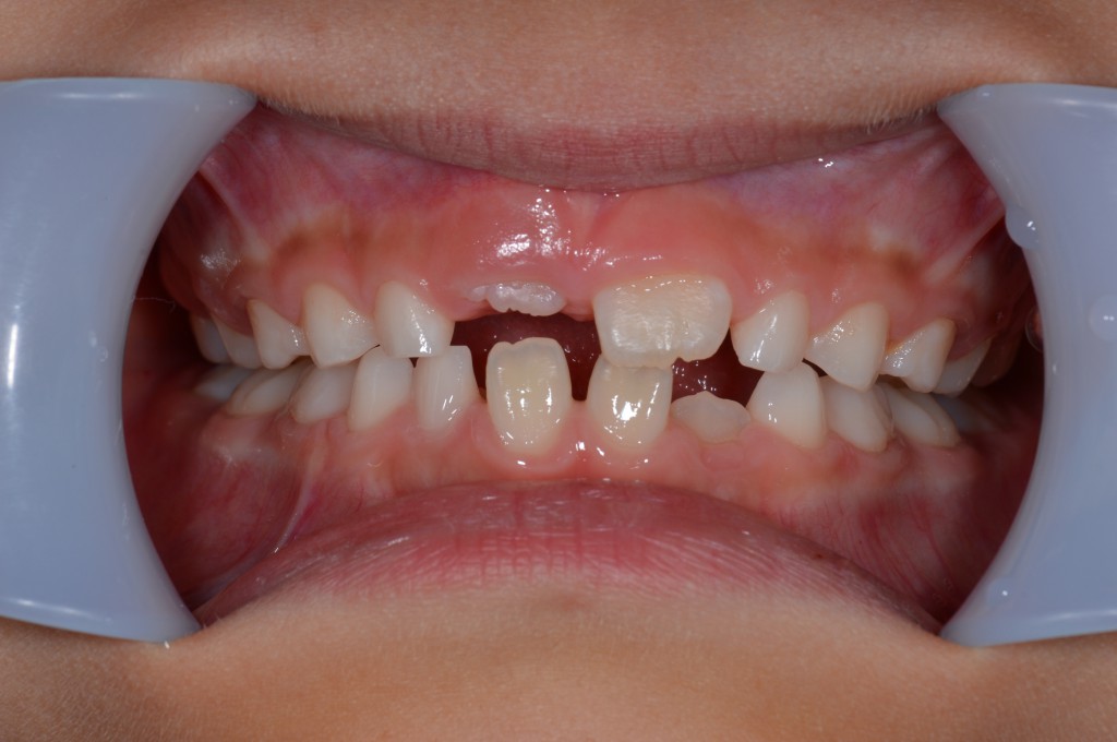
最近のお子さんは、歯の萠出がやや早いように思います。萠出が早いということは、言い換えるなら、顎骨の成長が充分でないのに、歯が生えてくるということ。萠出に際して、位置が異常な場合がありますが、放置できないのは上顎の歯が下顎の歯の後ろに生えてくることです。(いわゆる反対咬合)
できればこのような場合は、矯正を行いたいところです。写真の子供さんもこの後すぐに矯正装置を入れさせてもらいました。やや、深めに咬合するまでつけてもらいました。きれいになって、めでたし、めでたし。まあ、この矯正が成功するのは、タイミングが一番重要です。萠出の方向が危ない時にそれを修正するように装置をいれることが、すべてのような気がします。ということで、保護者の方の気付きもしくは毎月のメインテナンスが重要です。










