投稿日: 2013年2月27日隠し文字、マイクロスコープで ”隠し文字”って知ってました?いままで知らなかったというか、日本のお札の印刷技術はすごい!!1000円の桜のなかに”ニ”、”ホ”、”ン”の文字が見えます。黄色丸の中に”ホ”の字が見えます。 マイクロスコープでははっきり見えますが、裸眼では歳のせいか無理でした、、皆さんも見てみてください。(他にも隠し文字はあります。)
投稿日: 2013年2月26日根管治療右下7、マイクロスコープ マイクロスコープを使うと、はっきりとものが観察できます。真ん中のピンク色に見えるものが、ガッターパーチャーと呼ばれる根充材です。面白いことに、この症例では、一般的な歯と頬舌側が反対でしたが、マイクロスコープを使用しての根管治療でしたので、自信をもって処置が行えました。
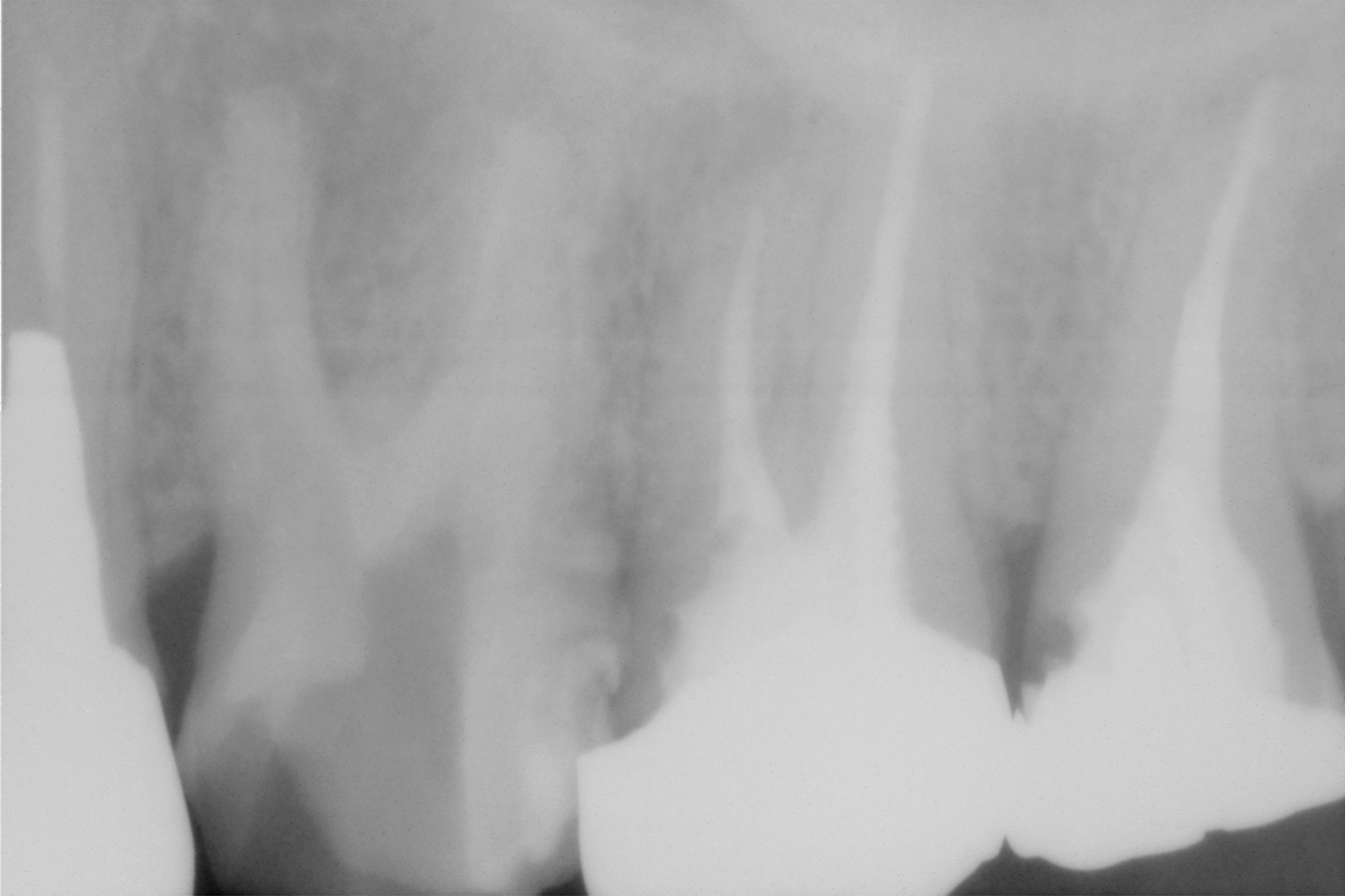
投稿日: 2013年2月26日2013年5月12日根管治療左上6、マイクロスコープをつかって 術前 左上の6番近心頬側根に何かあります。そこそこ、深く細いのですが、なんとか、除去し、治療を続けました。この根管は腫れやと痛みの原因になっていたので、除去できなければ、抜歯もしくは抜根等の外科処置もしくは抜歯が必要でした。 術中 無事に除去できました。レントゲンからわかるように、無駄な拡大もおこなっていないと思います。
投稿日: 2013年2月26日2013年2月26日根管治療右上4、マイクロスコープをつかって マイクロスコープを使用して除去しました。 これは、そこそこ深いところにありましたが、マイクロスコープにて除去できました。
投稿日: 2013年2月26日2013年2月26日根管治療右上7、マイクロスコープをつかって 根っこの中に、なにかギザギザなものが見えますが、、裸眼の治療ではちょっと除去不可能です。 マイクロスコープを使用して除去しました。 なにやら、見えますが、これで安心して治療が続けられますね。