マイクロスコープを使用して除去しました。
これは、そこそこ深いところにありましたが、マイクロスコープにて除去できました。

広島県福山市の歯科医院
生活面、改善したい部位の状況をおうかがいします。
虫歯がないか、ホワイトニングをおこなって問題がないかどうかをチェックします。
歯ブラシでは落とすことができないバイオフィルムとお口のプラークをPMTCで落とします。汚れのうえからホワイトニングをおこなってももちろん効果はありません。
写真を撮影して術前の様子を記録します。
術前です。歯の見本みたいなのがあります。これは”シェードガイド”といって歯の色の見本です。”B2”という文字が書いてありますが、これは色の種類が”B”タイプで色の濃さが”2”ということです。
 写真でB2を探してみてください。B1とかB3との色の差は結構あると思います
写真でB2を探してみてください。B1とかB3との色の差は結構あると思います
下の説明にもありますが、
(1)最初に歯の型を取って専用のマウストレーを作製します。3~4日あれば出来上がります
(2)マウストレーとホワイトニングジェルをお渡しして、使い方の説明を行います。
ここからはご自宅で
(3)1日1回2時間を目安に装着してください。
写真を撮影して術後の様子を記録します。もう少し白くしたいとかのご要望をお聞きします。
術後です、シェードもB1となり全体に満足のいく仕上がりです。



歯の中心になにか見えますね?
これは中心結節といわれるもので、歯の形態異常のひとつとされ、初発部位は下顎第二小臼歯です。1~4%程度の頻度で現れるらしいです。
この結節自体は特に悪いものではなく、問題ないのですが、形態的に折れやすいことが問題です。
(タブレットで描くのは初めてなので少々変なのはゆるしてね)とりあえず、歯の絵を描いてみました、これは中心結節のない一般的な下顎第二小臼歯の絵です。(つもりです)
歯の中心にある赤いところは歯の神経で歯髄とよばれます。

さて、中心結節がある場合は、そのツノの中心に神経が存在することがあります。
もし、中心結節が折れてしまった場合、その中には神経が走行していますのでそこから容易に感染します。
感染した後は、痛みがでるかもしれませんし、出なくても早々に神経は壊死してしまうので、歯の神経をとる処置が必ず必要になります。
また、もし、中心結節の存在を本人、周りの人が知らなかった場合を想像してみてください。歯は痛いんだけど外からは、結節が折れることにより、普通の外観の歯が、言い換えるなら一見して健康に見える歯があることになります。何で痛いのかなぜ処置が必要なのか理解不能な状態に陥ると思います。
術前です。(クリックで新しいウインドで開きます)両方の2番目の上の歯のが内側に入っています。向かって右は完全に、左もこのまま放置すれば完全にはいっていくことでしょう。
術直後です。ブラッシングも良好です、歯の位置も良くなったと思います。約3ヶ月でここまで動きました。上顎を広げているので上の歯の真ん中がすいてきていますが、心配無用です。
もしも、治療をしなかったら、2番目の歯は奥に引っ込んで、犬歯が前に出てという典型的な叢生になったと思います。
今回のケースでの治療費用は
診断:20,000円、装置:上顎:60,000円とあとは調整費です。矯正を始めるタイミングが良かったのでとても早く、きれいに直りました。
その後の写真です。(H23.6.01) 上の歯の隙間もなくなりました。特に注目すべきは上の歯の左右2番目3番目の歯茎の部分でしょうか。最初の写真と比較して立派な歯茎になりました。これは歯茎の下の上顎の骨が十分によく育った証拠だと思います。
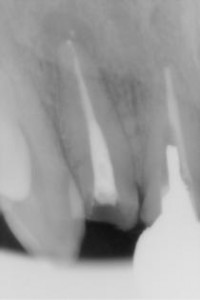
 この患者さんは、この歯が痛くて来院されました。以前の根管治療もそこそこできているように見えますが、残念ながら痛みが出てきているので、根管治療をやり直すことにしました。最初に抗生剤と痛み止めを飲んでいただいて、痛みが落ち着いた後に根管治療をすることにしました。抗生剤がよく効いたせいか、根管治療にはやや不同意な感じにもなったのですが、このままかぶせを作ると何年かあとに必ずまたいたくなりますので、根管治療を行いました。
この患者さんは、この歯が痛くて来院されました。以前の根管治療もそこそこできているように見えますが、残念ながら痛みが出てきているので、根管治療をやり直すことにしました。最初に抗生剤と痛み止めを飲んでいただいて、痛みが落ち着いた後に根管治療をすることにしました。抗生剤がよく効いたせいか、根管治療にはやや不同意な感じにもなったのですが、このままかぶせを作ると何年かあとに必ずまたいたくなりますので、根管治療を行いました。
 治療回数7回、約1ヵ月半で根管充填を行いました。(かなりスムースにいったつもりです、)この期間を長いと考えるか、短いと考えるかは考え方によります。 根管充填は垂直加圧充填法で行いました。向かって左の根管もきちんと掃除をしての充填です。
治療回数7回、約1ヵ月半で根管充填を行いました。(かなりスムースにいったつもりです、)この期間を長いと考えるか、短いと考えるかは考え方によります。 根管充填は垂直加圧充填法で行いました。向かって左の根管もきちんと掃除をしての充填です。